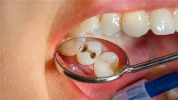
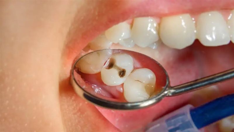
فعاليات توعوية حول تسوس الأسنان بمناسبة اليوم العالمي لصحة الفم والأسنان"
نظمت هيئة الرعاية الصحية بأسوان، فاعليات توعوية حول تسوس الأسنان في عدد من المنشآت الطبية ، تزامنا مع اليوم العالمي لصحة الفم والأسنان، وذلك تحت إشراف الدكتور"أشرف حماد" مدير فرع هيئة الرعاية الصحية بأسوان .
حيث صرح الدكتور "وائل محمد شعت"، مسؤول الأسنان في هيئة الرعاية الصحية بأسوان، أن تلك هذه الفعاليات تهدف إلى توجيه الأفراد بأهمية الحفاظ على نظافة الفم والأسنان ،وتبني عادات صحية منذ الصغر، وأيضا توفير التوعية الكافية للحد من مشاكل تسوس الأسنان ، كما تضمنت الفعاليات توزيع مواد تثقيفية وأدوات للعناية بالفم والأسنان،
وتأتي تنظيم هذه الفعاليات تزامناً مع اليوم العالمي لصحة الفم والأسنان الذي يوافق 20 مارس من كل عام، حيث تعكس جهود الهيئة العامة للرعاية الصحية تحت رعاية الدكتور "أحمد السبكي" رئيس الهيئة العامة للرعاية الصحية ، والمشرف على مشروع التأمين الصحي الشامل في تعزيز الوعي الصحي وتحسين صحة المواطن .



