بنها الجامعي تنجح في استخراج "سنة" ابتلعها مسن بطريق الخطأ
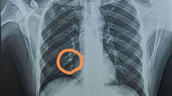
نجح فريق طبي قسم جراحة القلب والصدر بمستشفى بنها الجامعي، في استخراج "سِنة" ابتلعها مريض كبير في السن وضرير "٦٧ عامًا" بطريق الخطأ، حيث تم استخراج السنة بواسطة video assisted rigid bronchoscope ( منظار الشُعب الهوائية الصلب المدعم بالفيديو) وهو أحدث منظار شُعَب هوائية والوحيد المتوفر بالمستشفيات الحكومية بمنطقة الدلتا.
وقال الدكتور محمد الجزار مدرس جراحة القلب والصدر واستشاري مناظير الشعب الهوائية بطب بنها، أن المريض انتابته نوبة تشنجات نتيجة إصابته بمرض بالمخ أدى إلى غيابه عن الوعي فترة، وبعد تحسن حالته ونتيجة ضعف أسنانه وعمره المتقدم ومرض عينه تبين ابتلاعه "سنة من أسنانه" وتوقفها بالقصيبة الهوائية السفلي للفص السفلي من الرئة اليمني وتم تحويله من معهد الكبد بالمنوفية إلى قسم جراحة القلب والصدر ببنها الجامعي.
وأكد الجزار أنه تم استخراج السنة بصعوبة بالغة، حيث إنها كانت تنزلق كلما تم الإمساك بها وبعد محاولات عديدة تكللت العملية بالنجاح وخرج المريض بصحة جيدة.
شارك الفريق الطبي الدكتور محمد حامد عبد الرحمن مدرس واستشاري التخدير والعناية المركزة، والدكتور محمد عمر مدرس مساعد وأخصائي جراحة القلب والصدر، والدكتورة هبة أبو الخير طبيب مقيم جراحة القلب والصدر، وطاقم العمليات من عمال وتمريض انتصار علي، ايمان عفت- فاطمة- والعامل عمرو محمد، والمهندس أحمد شلتوت مندوب شركة المناظير.



