الأربعاء 24 ديسمبر 2025
رئيس مجلس الإدارة
هبة صادق
رئيس التحرير
أحمد إمبابي

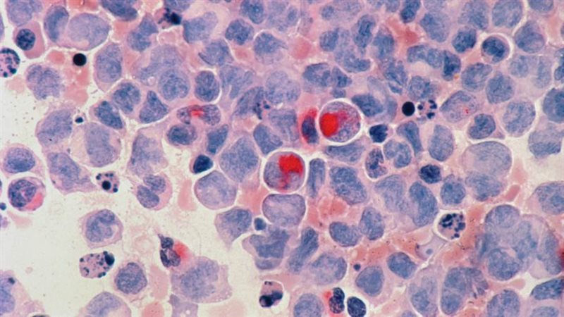
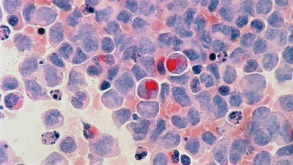
دراسة حديثة تُثبت استخدام الملاقط الصوتية لتشويه خلايا سرطان الدم

لوكيميا الدم
لوكيميا الدم

نشر موقع “ميديكال اكسبريس“، أنه وجد فريق من الباحثين في جامعة جنوب كاليفورنيا في لوس أنجلوس، أنه يمكن استخدام الملاقط الصوتية لتشويه خلايا سرطان الدم بطرق علمية مُفيدة.

 

الوصف الدقيق لكيفية استخدام الملاقط الصوتية لفهم ميكانيكا الخلايا السرطانية

 

تصف مجموعة الباحثين، كيفية استخدامهم Ferroelectrics للملاقط الصوتية لفهم ميكانيكا الخلايا السرطانية بشكل أفضل والتلاعب بها وتوصيفها بشكل دقيق، كجزء من الجهود المستمرة لفهم طبيعة السرطان بشكل أفضل من أجل الوقاية منه وعلاج المرضى.

 

وواصل العلماء تطوير أدوات جديدة لاستخدامها في دراسته في هذا الجهد الجديد، ونظر الباحثون، في إمكانية استخدام ملاقط صوتية لمعالجة الأنسجة السرطانية، وربما كوسيلة لتطوير أنواع جديدة من العلاجات، حيث تم تطوير ونمذجة الملاقط الصوتية على غرار ملاقط بصرية، والتي تم استخدامها لمعالجة الأشياء الصغيرة، وصولاً إلى الحجم الجزيئى والذري.

 

وتعمل الملاقط الصوتية عن طريق إرسال موجات صوتية عبر وسيط، مثل الأنسجة في تشكيل الموجات الصوتية، ويمكن استخدام هذه الأجهزة لمعالجة الأشياء بطرق مختلفة.

 

واقترح العمل السابق أن الخلايا السرطانية أكثر ليونة من الخلايا الطبيعية، لذلك اعتقد الباحثون أنه يجب أن تتشوه بسهولة أكبر، وقد لوحظ أن الأنسجة اللينة ستسمح بانتقال الأورام إلى أجزاء أخرى من الجسم، ولهذه الغاية، اختبر الباحثون إمكانية استخدام ملاقط صوتية أحادية الحزمة تعمل بالموجات فوق الصوتية للتحكم في خلايا سرطان الدم في طبق بتري.

 

واحتوى نظام الملقط الذي استخدمه الباحثون على محول طاقة بالموجات فوق الصوتية بتردد عالي حوالي 50 ميجا هرتز، حيث قام الباحثون بتطبيقه على عينات نسيج متعددة، واختبارهم لمعرفة ما إذا كان يمكن نقل هذه الأنسجة بشكل مستقل عن الأنسجة غير السرطانية، كما استخدموا النظام لقياس درجة التشوه ومقارنة ما وجدوه بدرجة التوافق في الأنسجة غير السرطانية، وبذلك وجدوا أن أعلى درجة من التشوه كانت مرئية في الخلايا السرطانية.

 

وخلص الباحثون، إلى أن عملهم من خلال الأبحاث قد أظهر أنه يمكن استخدام الملاقط الصوتية لدراسة الأنسجة السرطانية بطرق متنوعة وحديثة، وأشاروا أيضًا إلى أن استخدام مثل هذه الملاقط يمكن أن يلعب دورًا في تطوير علاجات تهدف إلى تقوية الخلايا السرطانية مما يزيد من صعوبة هجرتها.

تم نسخ الرابط