عشان تختار صح.. تعرف على الحلول التجميلية المناسبة لحالتك
كتبت - مروة فتحي
تختلف الحلول التجميلية والعلاجية للأسنان وفقًا لكل حالة واحتياجاتها، وفي السطور التالية يوضح لنا د. شادي سمير أخصائي تجميل وجراحة الفم والأسنان الفارق بين كل منهما.
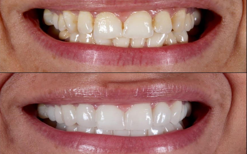
يتضمن مصطلح تجميل الأسنان، العديد من الخطوات العلاجية، نبدأها بتبييض الأسنان إذا كانت الأسنان سليمة ومرصوصة بشكل منتظم، أما إذا كان بها بعض الاعوجاج فنلجأ إلى ثاني الحلول وهو تقويم الأسنان.
وفي حالة عدم ملاءمة حل تقويم الأسنان، يكون الاختيار الأخير لنا هو تركيبات الـ Crowns والـ Veneers، نلجأ لتركيبات الكراون في حالة وجود تسويس بالسنة أو ضعف بها نقوم ببردها من كل النواحي وتركيب الكراون الخاص بها.
أما الفينيرز، فهي عبارة عن قشرة تجميلية للأسنان يتم تركيبها في حالة أن الأسنان سليمة وتحتاج فقط إلى المظهر التجميلي، ويتم ذلك عن طريق برد خفيف للجهة الخارجية للسنة أو الضرس وتركيب تلك القشرة من البورسلين التي يتراوح سمكها من 0.3 إلى 0.5 مليميتر.
لا يوجد فرق في الشكل التجميلي للكراون أو الفينيرز فهي نفس الخامات ولكن الفارق يكون حسب احتياج الحالة لأي منهما.
تطلب تلك التركيبات جلستين على الأقل، الأولى نقوم بأخذ المقاسات ووضع التركيبات المؤقتة، والثانية تكون بإزالة التركيبات المؤقتة وتركيب التركيبات الدائمة في وقت زمني يتراوح من 5 إلى 6 أيام بين الجلستين.



