التقويم الحل الأمثل لمشاكل الأسنان
كتبت - مروة فتحي
ازدحام الأسنان .. الفراغات الامامية .. الضروس والأسنان المدفونة مشاكل يعاني منها البعض، ولم تتوقف المشكلة على الشكل التجميلى فقط بل هناك الألم الذي تسببه هذه المشاكل
على سبيل المثال مشكلة نتوء الفكين ، طقطقة الفكين، مشاكل النطق ، التهابات اللثة وتسوس الأسنان من تراكم الجير بين الأسنان.
حل هذه المشاكل يكمن فى حلين الأول التقويم والثانى التجميل وعن الطريقتين يحدثنا طبيب جراحة وتجميل الفم والأسنان دكتور محمد العالم.
بدأ العالم حديثه قائلا " اختيار طريقة العلاج تتوقف على الحالة للمريض وحسب الوقت المناسب المتاح للحالة، فالتقويم علاج يحتاج الكثير من الوقت ولكن نتائجة فعالة ويضمن بقاء الأسنان الاساسية
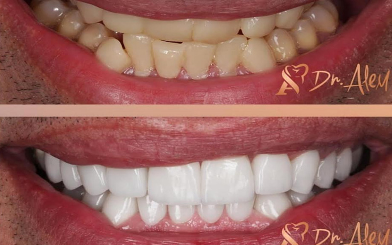
والتجميل علاج تجميلى سريع يعتمد على تركيب التيجان والقشور التجميلة بعد برد طبقة صغيرة من الأسنان.
وبالحديث عن التقويم بشكل ادق قال العالم " للتقويم فوائد عديدة منها اعادة ترتيب الأسنان واظهار ابتسامة جمالية ، تحسين اداء الاسنان والانسجة المحاطة بها ، وقاية الاسنان من التسوس
اما عن أنواع التقويم فهى كالآتي:
التقويم المتحرك ويتم استخدامه فى حالات معينة
التفيوم المعدنى الثابت وهناك نوعين منه الاول مرئى والاخر غير مرئى ويتم تغير السلك شهريا
وبالحديث عن تجميل الاسنان قال العالم لذينا الان العديد من الاجهزة المتطورة فى عالم طب تجميل الاسنان والتى تسمح لنا بصنع ابتسامة مثالية فى ٢٤ ساعة
فمن خلال برد طبقة صغيرة من السنة يمكننا لصق الفينيز أو عدسات الأسنان اللاصقة بعد اختيار التصميم ودرجة اللون حسب المعاير الشخصية للمريض، فيمكن للمريض أن يعالج العديد من المشاكل ايضا بتركيب الفينير مثل تغير واصفرار لون الأسنان وحجم الأسنان الغير متناسق واتساع المسافات بين الأسنان. ود



