معجزة.. رجل عاش 84 عامًا بتجويف هواء داخل رأسه
اكتشف أطباء أيرلنديون واحدة من أكثر الحالات النادرة في العالم، لرجل بلغ 84 من عمره ولا يملك جزءًا مهمًل من دماغه.
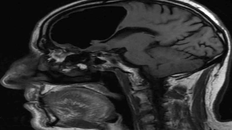
وقالت " روسيا اليوم: "اكتشف الأطباء وجود "تجويف هوائي" يبلغ طوله 10 سنتيمترات في النصف الأيمن من دماغ رجل مسن نقل إلى المستشفى عقب شعوره بالدوار وسقوطه على الأرض، بعد أن تبددت شكوكهم بإصابته بسكتة دماغية.
وبينت نتائج التصوير بالرنين المغناطيسي لدماغ الرجل المسن، وجود ما يسمى بالفتق الهوائي وهو ما يلاحظ عادة لدى المرضى الذين يعانون من إصابات في أجزاء معيّنة من الجسم والأعضاء الداخلية.
كما كشف الفحص وجود ورم عظمي "تشكّل حميد في عظام الوجه يفصل بين تجويف الأنف والدماغ"، دخل من خلاله الهواء إلى دماغ الرجل وبقي فيه لعقود من الزمن، ما أدى إلى الضغط على الدماغ وتعطيل التنسيق في بعض وظائفه الحيوية، وهذا ما أدى إلى شكوى الرجل من الدوار المتكرر.
وأظهرت الرعاية الصحية ومتابعة حالة الرجل لمدة 12 أسبوعًا، عدم وجود مخاطر صحيّة تهدد حياته، رغم العيب الخلقي الموجود في "التجويف الهوائي" داخل دماغه.



