الإثنين 22 ديسمبر 2025
facebook
twitter
youtube
instagram
telegram
رئيس مجلس الإدارة
هبة صادق
رئيس التحرير
أحمد إمبابي
أخبار
خدمات
حوادث
اقتصاد
رياضة
عربى ودولي
فنون
روزا T.V
محافظات
البحث
التأكد صفحة 5
ضبط 4 أطنان "سكر حر" تم حجبها عن التداول بالإسكندرية
الأحد 26/أبريل/2020 - 01:36 م
نزلاء في سجن بالأرجنتين يثيرون شغبا بعد إصابة المأمور بكورونا
السبت 25/أبريل/2020 - 08:49 ص
الصحة العالمية: شخصيات ومؤسسات دولية بصدد إطلاق مبادرة لإنتاج لقاحات ضد كورونا
السبت 25/أبريل/2020 - 12:13 ص
ترامب يعلق على "حقن مواد التطهير"
الجمعة 24/أبريل/2020 - 08:40 م
الحكومة تنفي وجود عجز بالأدوية بمستشفيات العزل الصحي
الجمعة 24/أبريل/2020 - 11:22 ص
مركز روسي يختار متطوعين لاختبار لقاح ضد كورونا
الأربعاء 22/أبريل/2020 - 07:24 م
عاجل.."مجلس الوزراء" يحذر من التعامل مع العقارات المخالفة بالشراء أو الاستئجار
الأربعاء 22/أبريل/2020 - 11:48 ص
عاجل.. الأمم المتحدة تتبنى بالإجماع مشروع قرار مكسيكيًا بالوصول العادل للقاحات "كورونا"
الثلاثاء 21/أبريل/2020 - 10:22 ص
سكان قنا الجديدة يلتزمون بعدم النزول في شم النسيم.. (صور)
الإثنين 20/أبريل/2020 - 07:49 م
الاحتفالات بشم النسيم في المنازل بكفر الشيخ
الإثنين 20/أبريل/2020 - 01:32 م
جاهزية مستشفى الأزهر التخصصي للعزل الصحي لمنسوبي الجامعة
الأحد 19/أبريل/2020 - 07:44 م
عاجل.. مستشفى قصر العيني الفرنساوي خالٍ من حالات الإصابة بفيروس "كورونا"
السبت 18/أبريل/2020 - 01:23 م
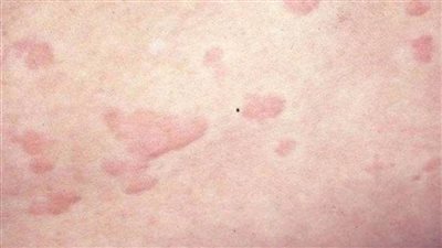
الطفح الجلدى علامة جديدة على الإصابة بفيروس كورونا المستجد
السبت 18/أبريل/2020 - 02:15 ص
يخدم مليارات الأشخاص .."جوجل" تطرح تحديثا لمنع التطبيقات المحتالة
الجمعة 17/أبريل/2020 - 05:51 م
١٠ طرق مذهلة لتبدي رائعة على مكالمات الفيديو
الجمعة 17/أبريل/2020 - 12:50 م
"رويترز": إيران أفرجت عن ناقلة ترفع علم هونج كونج بعد احتجازها لفترة وجيزة
الأربعاء 15/أبريل/2020 - 09:57 م
حصاد 870 فدان قمح مع بدء التوريد بشون وصوامع القليوبية
الأربعاء 15/أبريل/2020 - 01:44 م
وزير الري يرأس اجتماع لجنة إيراد النيل لمتابعة الاستعداد لموسم أقصى الاحتياجات
الأربعاء 15/أبريل/2020 - 10:23 ص
محافظ الجيزة يتابع انتظام صرف منحة العمالة غير المنتظمة لـ100 ألف مواطن
الثلاثاء 14/أبريل/2020 - 02:46 م
محافظ الوادي الجديد: تشكيل لجنة لتوزيع المساعدات
الثلاثاء 14/أبريل/2020 - 02:39 م
كوريا الجنوبية تحذر مخالفي إجراءات الدخول في المطار
الثلاثاء 14/أبريل/2020 - 09:21 ص
محافظ المنيا يتابع تجهيز المساعدات لأسر الحجر الصحي بمنشية نيازي
الإثنين 13/أبريل/2020 - 06:52 م
عاجل.. ممثل منظمة الصحة العالمية يكشف تفاصيل التأكد من إصابة أول حالة "كورونا" في مصر
الإثنين 13/أبريل/2020 - 02:08 م
الرقابة المالية: تأجيل تطبيق التعديلات في معايير المحاسبة المصرية الجديدة على القوائم الدورية
الأحد 12/أبريل/2020 - 04:22 م
7 مفاتيح لإطلالة متميزة خلال اجتماعات الأونلاين
الأحد 12/أبريل/2020 - 02:40 م
ضبط عاطل بحوزته 100 طربة حشيش في الإسكندرية
السبت 11/أبريل/2020 - 01:00 م
كورونا.. بدء التجارب السريرية باستخدام عقار أفيجان الياباني في أمريكا
الجمعة 10/أبريل/2020 - 11:43 م
٥ طرق حتى تصبح أفضل صديق لطفلك
الجمعة 10/أبريل/2020 - 04:03 م
بالصور.. ثقافة سوهاج تواصل تطهير وتعقيم مواقعها الثقافية
الجمعة 10/أبريل/2020 - 04:28 م
تحاليل فورية وعزل لمخالطي مصاب "كورونا" بمستشفيات جامعة المنوفية
الخميس 09/أبريل/2020 - 03:43 م
1
2
3
4
5
6
7
8