الثلاثاء 23 ديسمبر 2025
facebook
twitter
youtube
instagram
telegram
رئيس مجلس الإدارة
هبة صادق
رئيس التحرير
أحمد إمبابي
أخبار
خدمات
حوادث
اقتصاد
رياضة
عربى ودولي
فنون
روزا T.V
محافظات
عاجل
عاجل.. طبيب منتخب مصر يكشف طبيعة إصابة حمدي والأناكوندا
البحث
اسماك صفحة 3
الأدلة الجنائية تعاين حريق محل أسماك في الإسكندرية
الخميس 01/أكتوبر/2020 - 02:53 م
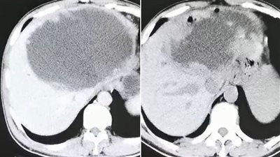
شاهد.. كبد صيني يتحول إلى كتلة مليئة بالديدان لتناوله أسماكا غير مطبوخة جيدا
الخميس 23/يوليو/2020 - 06:10 م
نكشف حقيقة استيراد أسماك غير صالحة للاستهلاك وطرحها بالأسواق
الجمعة 10/يوليو/2020 - 10:47 ص
وزير الإسكان: تنفيذ مشروع سوق السمك المتطور بالإسماعيلية "صور"
الإثنين 06/يوليو/2020 - 12:01 م
مفاجأة.. الصين تسحب السالمون من الأسواق وسط مخاوف أن يكن وراء نشر سلالة لكورونا أشد عدوى
الثلاثاء 16/يونيو/2020 - 02:12 م
ضبط طن ونصف مواد غذائية فاسدة بالمنيا
الجمعة 12/يونيو/2020 - 10:22 م
ظهور أسماك نافقة على شواطئ البحرين يثير التساؤلات.. والبيئة ترد
الخميس 11/يونيو/2020 - 08:02 م
صحة الشرقية تعدم 1.5 طن أسماك مدخنة وملح غير صالح
الثلاثاء 19/مايو/2020 - 08:35 م
"الزراعة" تواصل إزالة التعديات على بحيرة المنزلة
الجمعة 01/مايو/2020 - 12:26 م
الكشف عن "أخطر مكان في تاريخ كوكب الأرض"!
الجمعة 24/أبريل/2020 - 06:18 م
بحث عالمي عن فيروس كورونا يستشهد بدراسة علمية صادرة من جامعة أسيوط
الخميس 23/أبريل/2020 - 01:29 م
مركز سموم الإسكندرية يحذر من سمكة الأرنب السامة
الثلاثاء 21/أبريل/2020 - 08:35 ص
مباحث التموين تضبط طن أسماك مملحة قبل طرحها بالأسواق
الأحد 19/أبريل/2020 - 07:37 م
عاجل.. ضبط طن و٢٥٠ كجم أسماك مملحة فاسدة قبل بيعها للجمهور
الأحد 19/أبريل/2020 - 04:15 م
الشربيني: تنفيذ مول تجاري بطريق الواحات بـ6 أكتوبر
السبت 18/أبريل/2020 - 12:02 م
18 نصيحة لشراء فسيخ جيد
السبت 18/أبريل/2020 - 10:28 ص
ضبط 4 تجار تموينيين لاستيلائهم وتصرفهم في السلع التموينية بالبحيرة
الخميس 16/أبريل/2020 - 11:44 ص
مباحث التموين تضبط 1108 قضيايا خلال يوم واحد
السبت 11/أبريل/2020 - 04:09 م
تعرف على الضربات الأمنية لقطاع أمن المنافذ بالداخلية خلال 24 ساعة
الأربعاء 01/أبريل/2020 - 11:26 م
جنة على الأرض.. "صمداي" بيت الدلافين بمرسى علم
الإثنين 09/مارس/2020 - 11:36 ص
طفلين انشغل والدهما بالعمل.. فماتا غرقا
الأحد 08/مارس/2020 - 11:08 م
"الزراعة": ضبط أكثر من 2 طن لحوم ودواجن وأسماك غير صالحة في 17 محافظة
الجمعة 28/فبراير/2020 - 07:37 م
من الحب ما قتل..فتاة تحاول الانتحار لفسخ خطبتها بـ”المنوفية“
الجمعة 28/فبراير/2020 - 06:31 م
ضبط 4 أطنان أسماك فاسدة
الجمعة 28/فبراير/2020 - 02:08 م
نورالدين يتفقد المدرسة الثانوية المشتركة
الخميس 27/فبراير/2020 - 02:47 م
تسمم 5 أشخاص من أسرة واحدة تناولوا وجبة "أسماك" بالبحيرة
السبت 22/فبراير/2020 - 11:31 ص
"مصر للطيران" تتخذ إجراءات وقائية لمنع انتشار فيروس "كورونا" الجديد
الثلاثاء 28/يناير/2020 - 11:36 ص
ضبط مخزن أسماك مملحة فاسدة بـ”المنوفية“ (صور)
الإثنين 13/يناير/2020 - 08:19 م
"الزراعة": ضبط أكثر من 20 طن لحوم ودواجن وأسماك غير صالحة خلال أسبوع
الأربعاء 25/ديسمبر/2019 - 05:07 م
ضبط 3 أطنان كبدة وأسماك فاسدة بثلاجة في قليوب
الأحد 15/ديسمبر/2019 - 05:09 م
1
2
3
4
5