نجاح مستشفى إدكو المركزي في إجراء عملية دقيقة لإزالة ورم من الغدة النكافية
فى اطار التطوير المستمر للمنظومة الصحية واستحداث تخصصات جديدة، وتطوير الخدمات بأقسام جراحة الوجه والفكين، وحرصًا على تأدية الخدمات الطبية للمنتفعين على وجه السرعة، دون الحاجة للتحويل.
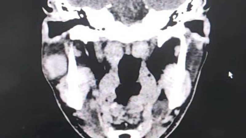
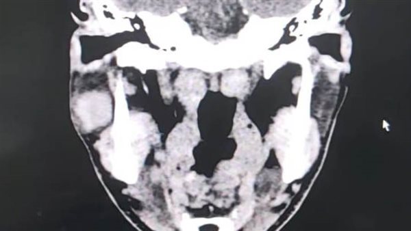
قام قسم جراحة الوجه والفكين بمستشفى ادكو المركزى فى إجراء عملية دقيقة لإزالة ورم من الغدة النكافية "ورم حميد بالغدة النكافيه من الفص السفلي لها" وبفضل الله تم الحفاظ على العصب الوجهي السابع.
قام بإجراء العملية نخبة من جراحي قسم جراحة الوجه والفكين بالمستشفى ، بقياده الدكتور وائل نمير استشاري جراحة الوجه و الفكين بالقسم، واشراف الدكتور أحمد بلال رئيس القسم ، والدكتور محمود قاسم ، والدكتور ضياء يس أخصائيين جراحة الفم والأسنان، والدكتور عبد الرحمن عيسى استشاري التخدير، وطاقم تمريض العمليات، وفنيي التخدير.
وأشاد الدكتور هاني جميعه وكيل وزارة الصحة بالبحيرة بجهود ونجاح الفريق الطبي المشارك فى هذه العملية ، مؤكدًا أن الدولة تُولى اهتمام كبير بتطوير المنظومة الصحية والعلاجية لتقديم خدمات طبية متميزة وخاصة فى التخصصات الدقيقة ، ومنها جراحات الوجه والفكين ، ومن أجل تذليل كافة العقبات أمام الحالات الحرجة و الطارئة.
وأعرب وكيل الوزارة، عن شكره وتقديره لمنظومة طب الأسنان بالمديرية بقيادة الدكتورة غادة عماره ، وللدكتور أحمد السنهوري مدير المستشفى ، وللفريق الطبي المشارك من قسم جراحة الوجه والفكين وقسم الأسنان ، وفريق التمريض وكافة العاملين بالمستشفى تقديرًا لمجهوداتهم ودورهم الكبير في تقديم خدمة طبية تليق بالمواطن المصري.
كما أكد الدكتور حموده الجزار وكيل المديرية أن ذلك يأتي في إطار التطوير المستمر للخدمات الصحية المقدمة لأهالي البحيرة، وفي إطار خطة المديرية لتطوير الخدمات بأقسام جراحة الوجه والفكين ، وذلك بمستشفي كفر الدوار العام ومستشفي ادكو المركزي، ومستشفي الرمد ، ومستشفي ابو المطامير ، وجاري فتح وتجهيز قسم جديد لجراحة الوجه والفكين بمستشفي ايتاي البارود المركزي، ووجه الشكر لكل من يعمل بمستشفى ادكو لمجهودهم المتميز، ونجاحهم فى اجراء مثل هذه العملية الدقيقة ، التي تمنح الأمل للمريض البحراوي.



