الخميس 25 ديسمبر 2025
facebook
twitter
youtube
instagram
telegram
رئيس مجلس الإدارة
هبة صادق
رئيس التحرير
أحمد إمبابي
أخبار
خدمات
حوادث
اقتصاد
رياضة
عربى ودولي
فنون
روزا T.V
محافظات
البحث
مستشفى المنصورة التخصصي
الدكتور محمد نبيه العربي مديرًا لمستشفى المنصورة التخصصي
الأربعاء 23/أكتوبر/2024 - 07:00 م
عاجل.. بتاكل شعرها.. فريق طبي يستخرج كتل شعرية من معدة فتاة في جراحة نادرة
الإثنين 19/أغسطس/2024 - 08:16 م
استخراج فرشاة أسنان من معدة فتاة بمستشفى المنصورة التخصصي
الخميس 25/يوليو/2024 - 05:24 م
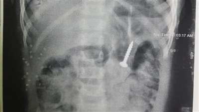
استخراج "مسمار" من معدة طفلة بمستشفى المنصورة التخصصي
الأربعاء 01/مايو/2024 - 01:46 ص