الأربعاء 24 ديسمبر 2025
facebook
twitter
youtube
instagram
telegram
رئيس مجلس الإدارة
هبة صادق
رئيس التحرير
أحمد إمبابي
أخبار
خدمات
حوادث
اقتصاد
رياضة
عربى ودولي
فنون
روزا T.V
محافظات
البحث
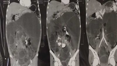
استئصال ورم
استئصال ورم دون جراحة بالقنوات المرارية بمستشفى أحمد ماهر التعليمي
الخميس 25/سبتمبر/2025 - 03:10 م
مستشفى الخارجة التخصصي ينجح في إجراء جراحة لورم سرطاني بالبنكرياس
الخميس 24/أبريل/2025 - 07:25 م
"التأمين الصحي" ببنها ينجح في استئصال ورم يزن 9 كيلو من مريضة
الأحد 05/يناير/2025 - 12:03 م
فريق طبي بمستشفى القلب بجامعة أسيوط ينجح في استئصال ورم كبير بالقلب لسيدة
الأحد 06/أكتوبر/2024 - 12:35 م
فريق طبي بمستشفى أسيوط العام ينجح في استئصال ورم بجدار صدر شاب يزن 700 جرام
الإثنين 30/سبتمبر/2024 - 10:59 ص
استئصال ورم سرطاني يزن١٨٠٠ جرام لسيدة أربعينية بمستشفى سوهاج الجامعي
الخميس 02/مايو/2024 - 07:04 م
فريق المناظير بمعهد تيودور بلهارس ينجح في استئصال ورم بالمعدة باستخدام تقنية مبتكرة
الإثنين 11/ديسمبر/2023 - 09:30 م
فريق طبي بمعهد جنوب مصر للأورام بجامعة أسيوط ينجح في استئصال ورم ضخم يزن (30) كيلو جراما من الرحم
الخميس 01/يونيو/2023 - 02:44 م
استئصال ورم خبيث ضخم على مبيض مريضة بمستشفى الأطفال التخصصى
الأربعاء 28/ديسمبر/2022 - 09:39 م
فريق طبي بمستشفى العبور ينجح في استئصال حنجرة مريض يعاني من ورم
السبت 17/ديسمبر/2022 - 01:23 م
نجاح أول عملية استئصال ورم بالقولون لسيدة بمستشفى كفر شكر التخصصي
الخميس 24/نوفمبر/2022 - 06:56 م
فريق طبي بمستشفى سوهاج الجامعي ينجح في استئصال ورم يزن ١٨ كجم
الثلاثاء 15/مارس/2022 - 05:04 م
بنها التعليمي ينجح في استئصال ورم ضاغط على الحبل الشوكي لمريض
الخميس 17/فبراير/2022 - 12:35 م
مستشفى قها التخصصى ينجح في استئصال ورم على الرحم لمسنة بالقليوبية
الإثنين 14/فبراير/2022 - 08:26 م
عاجل.. طبيب "بايدن" يكشف طبيعة ورم في القولون لدى الرئيس الأمريكي
الخميس 25/نوفمبر/2021 - 10:43 م
معهد جنوب مصر للأورام بأسيوط ينقذ حياة طفلة بعد استئصال ورم ملاصق للشرايين
الخميس 25/نوفمبر/2021 - 03:48 م
استئصال ورم ضخم بالتجويف الأنفي لمريض بمستشفى قنا الجامعي
الثلاثاء 22/ديسمبر/2020 - 09:16 م
"الرعاية الصحية" تعلن نجاح أول جراحة لاستئصال ورم بالبنكرياس والاثنا عشر
الأربعاء 04/نوفمبر/2020 - 07:02 م
استئصال ورم من طائر بكلية "بيطري المنصورة"
الخميس 01/أكتوبر/2020 - 06:38 م
أطباء "أسيوط" يستأصلون ورما 8 كجم من بطن طفلة
الأربعاء 18/ديسمبر/2019 - 01:23 م
عاجل.. استئصال ورم وزنة تسعة كيلو من سيدة بالقاهرة
الأحد 08/ديسمبر/2019 - 07:39 م
ناصر العام تنجح في استئصال ورم من الغدة الدرقية لمسنة بشبرا الخيمة
السبت 28/سبتمبر/2019 - 10:44 م
استئصال ورم يزن 5 كجم من رأس طفل عمره 3 أيام
الجمعة 06/سبتمبر/2019 - 04:26 م
استئصال ورم يزن 25 كيلو جرامًا من رحم مريضة (فيديو وصور)
الأربعاء 28/أغسطس/2019 - 07:20 م
استئصال ورم وزنه 5ر3 كيلوجرام من سيدة بمستشفى كفر الشيخ الجامعي
الإثنين 26/أغسطس/2019 - 02:21 م
استئصال ورم 7 كيلو من بطن مريضة بمستشفى المعلمين
الثلاثاء 16/يوليو/2019 - 12:53 م
استئصال ورم يزن 20 كيلو من رحم سيدة في جراحة نادرة "بتأمين بني سويف"
الأربعاء 22/مايو/2019 - 06:34 م
استئصال ورم دموي ليفي من قاع الجمجمة لطفل بالتأمين الصحي ببنها
الأربعاء 13/مارس/2019 - 05:05 م
استئصال ورم سرطاني لمريضة بمركز أورام طنطا
الأربعاء 19/ديسمبر/2018 - 11:07 م
فريق طبي بجامعة أسيوط ينجح في إجراء عملية جراحية معقدة لاستئصال ورم سرطاني بالكلى
السبت 24/نوفمبر/2018 - 01:30 م
1
2