عمره عام.. إنقاذ حياة رضيع ابتلع "دبوس" بمستشفى الأطفال التخصصي ببنها
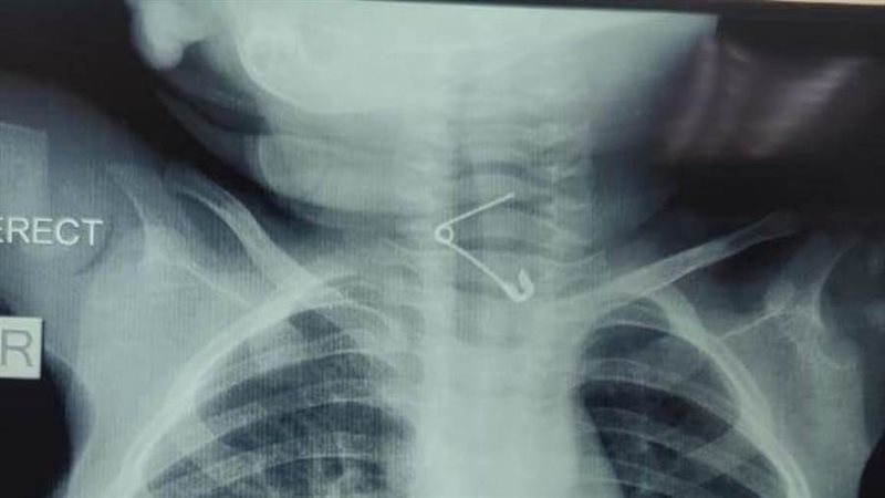
نجح فريق طبي بقسم جراحة الأطفال بمستشفى الأطفال التخصصى ببنها في محافظة القليوبية، في إنقاذ حياة طفل بلغ من العمر عامًا، ابتلع دبوسًا معدنيًا استقر في الحلق، مهددًا مسار التنفس ومسببًا خطورة بالغة على حياته.
جاء ذلك برعاية الدكتورة مها ابراهيم رئيس أمانة المراكز الطبية المتخصصة والدكتور محمود البرنس عباس مدير عام مستشفى الأطفال التخصصي ببنها.
كانت حالة من القلق والترقب الشديد قد سيطرت على أسرة الطفل، وامتدت إلى كل من تابع تفاصيل الحالة داخل المستشفى وخارجه، لما تمثّله من تحدٍ حقيقي أمام الطواقم الطبية.
ضم الفريق الطبي قيادة الدكتور محمد متولي، رئيس قسم جراحة الأطفال ونائب مدير المستشفى، وبإشراف الدكتور محمود البرنس، مدير المستشفى، حيث تجهّز الفريق الجراحي خلال دقائق معدودة لخوض هذا التحدي الدقيق، إذ تولّى الجراحة كل من الدكتور وليد محمد والدكتور محمد أيمن.
العملية تطلّبت تنسيقًا فائقًا بين أطباء التخدير والجراحين، وتمّت بدقة متناهية لتفادي أي مضاعفات، في وقت قياسي، وسط متابعة مستمرة من الإدارة الطبية، واستعداد كامل للتدخل في حال حدوث أي طارئ.
وأكدت إدارة المستشفى في بيان لها، أن هذه ليست مجرد عملية جراحية ناجحة، بل هي رسالة أمل لكل أسرة، ودليل حي على أن أرواح الأطفال في أيدٍ أمينة، يقودها إخلاص علمي وإنساني عميق.
ووجهت إدارة المستشفى الشكر والتقدير للفريق المتميّز، الذي جسّد أروع صور التفاني والاحترافية، وكان مثالًا حقيقيًا للنجاح فى الظروف الحرجة.



