بنها الجامعي ينجح في إنقاذ حياة مريض باستخراج "ملقاط"
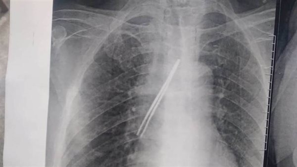
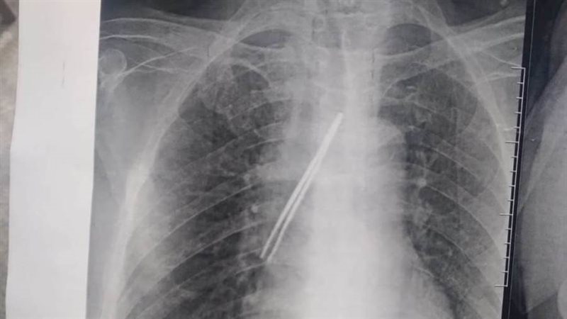
نجح فريق جراحي بقسم جراحة القلب والصدر بمستشفى بنها الجامعي بمحافظة القليوبية، في استخراج "ملقاط شعر"، من القصبة الهوائية لمريض يعاني من شق حنجرى قديم، وأثناء قيامه بتنظيف فتحة الشق الحنجرى بطريقة غير طبية وغير صحيحة باستخدام الملقاط ملفوف بمناديل ورقية، سقط منه وابتلعه ودخل لفتحة القصبة الهوائية.
وأوضح مستشفى بنها الجامعي، في بيان له، أنه تم الآن استخراج "ملقاط شعر" من القصبة الهوائية لمريض يعاني من شق حنجري قديم، وبينما يقوم بتنظيف فتحة الشق الحنجري بطريقة غير طبية وغير صحيحة باستخدام ملقاط ملفوف بمناديل ورقية اتشفط منه الملقاط ودخل لفتحة القصبة الهوائية.
وتابع المستشفى، أنه حضر المريض للقسم في حالة اختناق، وتم دخوله العمليات فورا، حيث نجح الدكتور باسم مفرح الأستاذ المساعد بالقسم، وبمعاونة الدكتور أحمد الخضري مدرس مساعد التخدير، من استخراج "الملقاط"، وخرج المريض بسلامة الله من العمليات ويخضع لاستكمال علاجه بالقسم لحين تماثله الكامل للشفاء.



